- 첨부파일이 없습니다.
엉덩이 인공관절 ‘프록시마’ 시술 각광
- 이대목동병원 인공관절센터 소장 김영후 교수 자체 개발…인체공학적 디자인, 세라믹 델타 소재 채용으로 부작용 줄이고 내구성 높여
- 프록시마 시술 환자 수 2004년 이후 전세계적으로 12,000명 넘어
최근 전세계적으로 노령인구 증가와 함께 퇴행성 관절염으로 고생하는 사람들이 늘어나고 있는 가운데 이대목동병원 인공관절센터 소장인 김영후 교수가 2000년에 개발에 성공한 엉덩이뼈(고관절) 인공관절 ‘프록시마(Proxima)’가 기존 인공관절보다 개선된 성능을 인정받아 전세계 16개 국가에서 인기리에 활용되고 있어 화제다.
기존 인공관절보다 길이를 줄인 인체공학적 디자인으로 설계해 인체의 뼈 조직 손상을 최소화한데다 '세라믹 델타' 소재를 채용해 마모를 줄이고 성능을 강화시킨 프록시마를 활용하는 병원이 세계적으로 크게 늘어나 지난 6월말까지 시술 환자 수가 1만2,000명을 넘어선 것. 특히 올해 들어와 프록시마를 이용해 인공관절 시술을 하는 병원이 크게 늘어나 지난해 대비 월 평균 40% 이상 신장했다.
|
이대목동병원 인공관절센터 김영후 소장이 개발한 인공관절 ‘프록시마’ |
기존 일반적으로 사용되어 온 대퇴골두 인공관절 |
프록시마를 이용한 인공관절 시술은 2004년 영국, 독일, 프랑스 등 유럽과 인도에서 국내보다 먼저 시술이 시작돼 호주, 이스라엘, 중국 등으로 확산되었으며 국내에서는 식품의약품안전청 인증을 받은 2006년부터 김영후 교수에 의해 처음 시술이 시작돼 현재 이대목동병원 인공관절센터를 비롯한 10개 병원에서 엉덩이 관절 수술시 환자들로부터 각광받고 있다.
프록시마는 현재 미국 FDA의 승인을 기다리는 중으로, 향후 승인을 받으면 미국, 일본 등 수출 국가가 다변화돼 프록시마 인골관절 시술이 크게 활성화 될 전망이다.
프록시마는 기존 인공관절보다 크기를 줄이는 대신 인체의 하중을 받는 대퇴부의 끝 부분에만 골 접착제 없이 삽입하는 인체공학적 디자인으로 설계돼 정상적인 뼈의 힘을 받는 부분에만 응력이 발생하도록 해줌으로써 뼈를 원래대로 보존해줘 오랫동안 사용할 수 있다. 기존에 일반적으로 사용되던 모양이 긴 엉덩이 인공관절은 고정력을 높이기 위해 길이가 긴 아랫 부분을 인체의 뼈에 깊숙이 삽입하므로 수술 후 대퇴부에 통증이 올 수 있고, 오랫동안 사용하다 보면 주위 뼈 조직이 약해질 수 있어 재수술을 받아야 하는 단점이 있었다.
|
‘프록시마’를 이용해 시술한 고관절 엑스레이 사진 |
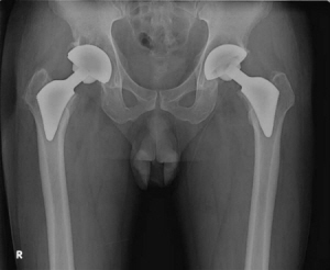
기존 인공관절을 이용해 시술한 고관절 엑스레이 사진 |
프록시마는 세라믹 델타 소재를 사용해 강도를 2배로 늘리고 마모도는 기존 소재 대비 1/5000로 대폭 줄여 인체에 미치는 부작용을 최소화했다. 또한 관절을 연결하는 볼의 크기를 36mm로 크게 해 탈구를 예방해준다. 기존의 대퇴골두 인공관절은 작은 크기의 볼을 사용해 탈구가 일어나는 일이 있곤 했다.
한편 국내는 고관절 환자 중 젊은층의 비율이 높기 때문에 사용 기간이 길어 재치환술 주기를 늦출 수 있는 프록시마의 전망은 매우 밝은 편이다. 기존의 인공관절은 50세 이상의 환자가 70세까지 사용할 확률이 90%인 반면 50세 이하에서 시술 받은 환자가 70세까지 사용할 확률은 환자들의 활동성이 높아 80%로 낮은 편이어서 내구성이 좋은 프록시마의 활용도는 더욱 늘어날 전망이다.



